Veneers
What are Porcelain Veneers?
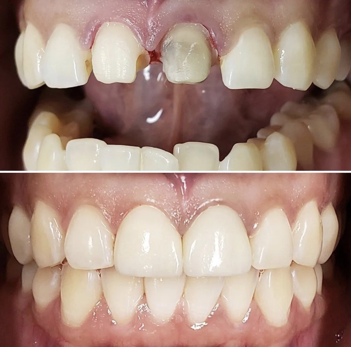
Veneers are a very thin layer of porcelain that helps re-create the look of your natural teeth. Veneers correct imperfections such as cracks, gaps, stains, or misshapen teeth. In addition, they help reinforce weak teeth. Veneers can be made from composite resin or porcelain. Porcelain is the most stain-resistant material out of the two materials. Porcelain also tends to match your natural enamel better.
Benefits of Veneers
✓
Resistance to staining
✓
Durable long-lasting results
✓
Minimal invasive work
✓
Customizable to your goals
WHAT TO EXPECT:
The Process of Veneers —
STEP ONE:
Initial consultation.
Contact us to schedule your appointment. During your initial consultation, we will exam your teeth and discuss the different types of results you hope to achieve.
STEP TWO:
Tooth prep & dental scan.
Your teeth will be prepped for the veneers by reducing a minimal amount of enamel from the surface. After your teeth are ready, Dr. Tracz will either take a mold of your teeth or digitally scan your teeth, depending on the case. This impressions are then taken and sent to create your individualized veneers in a dental lab.
STEP THREE:
Mockup of your veneers.
Before placing your final veneers, a mockup is created of your veneers which stimulates how your veneers will look like and feel. The benefits of mockups are that you are able to adjust and customize your veneers until you are fully satisfied with the look and feel of them.
STEP FOUR:
Final placement.
Once we have finalized the mockup, your final veneers will be sent from the lab. The finalized veneers will be fitted to each tooth and adhered securely to your teeth. In no time at all, your veneers are securely in place, and you have a beautiful and improved smile.