Full Mouth Rehabilitation

What is full mouth rehabilitation?

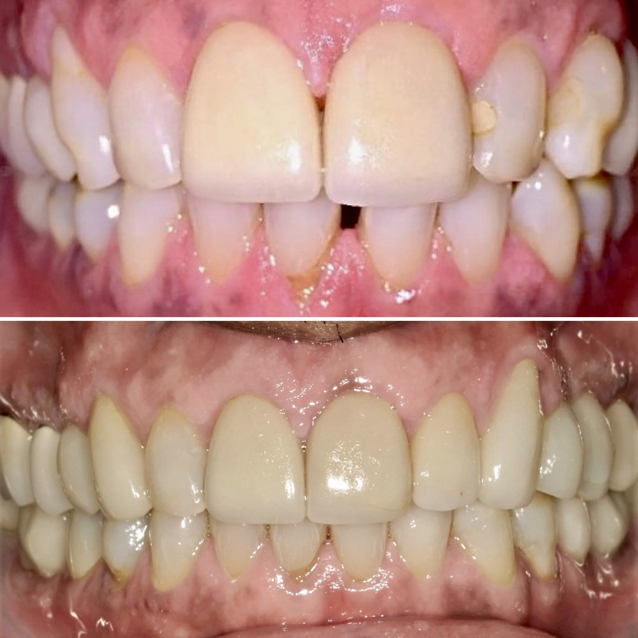
Full mouth rehabilitation or full mouth reconstruction is a highly individualized treatment plan designed to optimize the health of the entire mouth, including the gums, teeth, and bite. In many cases, full mouth rehabilitation refers to rebuilding or replacing most teeth in the mouth using various effective dental services.

Types of Full Mouth Rehabilitation Services —

A full mouth rehabilitation might involve the replacement of existing dental restorations that have become worn down over time. Most full mouth rehabilitations require extensive work planned out over multiple appointments. Dr. Tracz provides in-depth consultations and will help you determine the best dental treatments to restore the form and function of your mouth, smile, and bite.

 
Bridge at Holistic dental office in Brooklyn New York.

Bridges

Crowns at Holistic dental office in Brooklyn New York.

Crowns

Fillings at Holistic dental office in Brooklyn New York.

Fillings

Veneers at Holistic dental office in Brooklyn New York.

Porcelain Veneers

 
Dentures at Holistic dental office in Brooklyn New York.

Dentures

Implants at Holistic dental office in Brooklyn New York.

Implants

Inlays Onlays at Holistic dental office in Brooklyn New York.

Inlays or Onlays

Teeth Whitening at Holistic dental office in Brooklyn New York.

Teeth Whitening

 
Holistic dental office in Brooklyn New York.

Get started with Heights Dental, today.